¿Qué es el ACV en medicina? Causas, síntomas y tratamiento - Medicina
¿Qué es el ACV en medicina? Causas, síntomas y atención inmediata
El ACV es una emergencia causada por la falta de flujo sanguíneo al cerebro. Reconocer sus síntomas y actuar rápido es vital, y muchos casos pueden prevenirse controlando factores de riesgo.
¿Qué significa ACV?
Un accidente cerebrovascular, conocido también como ACV, es una situación de emergencia médica que ocurre cuando el suministro de sangre al cerebro se detiene de manera abrupta. Cuando esto pasa, las células cerebrales dejan de recibir el oxígeno y los nutrientes que necesitan, lo que puede causar daños irreversibles en cuestión de minutos. En el mundo de la medicina, también se le llama ictus, ataque cerebral o derrame cerebral. Vale la pena recalcar que la rapidez con la que se detecta y se atiende un ACV es clave para determinar el desenlace del paciente.
Conviértete en experto en el cuidado del sistema nervioso y el manejo de eventos cerebrovasculares estudiando la Especialización en Neurología
Las consecuencias de un ACV pueden ir desde secuelas leves hasta discapacidades severas o incluso la muerte, dependiendo de qué tan grande y en qué parte del cerebro se produzca el daño. Muchas veces, quienes lo sufren pueden tener problemas para moverse, hablar, entender lo que otros dicen o ejecutar tareas básicas del día a día. Por eso, insistir en la educación sobre el ACV se ha vuelto parte esencial de las estrategias de salud pública, especialmente en ciudades como Bogotá, donde los factores de riesgo asociados al ACV están bastante presentes.
En Bogotá y en Colombia en general, el ACV es una de las principales causas de discapacidad y mortalidad en adultos. Por eso, conocerlo y, sobre todo, prevenirlo es fundamental tanto para la ciudadanía como para los profesionales de la salud.
El Ministerio de Salud y Protección Social de Colombia ha puesto en marcha campañas específicas para que la gente aprenda a identificar un ACV a tiempo y reciba la atención adecuada, reconociendo el impacto que tiene esta condición en la calidad de vida y en el sistema de salud del país.
Tipos principales de ACV: isquémico y hemorrágico
En pocas palabras, existen dos tipos principales de accidente cerebrovascular: el isquémico y el hemorrágico.
| Tipo de ACV | Descripción |
|---|---|
| Isquémico | Sucede cuando un vaso sanguíneo que lleva sangre al cerebro se tapa, por lo general por un coágulo. Es el tipo más frecuente. |
| Hemorrágico | Ocurre cuando un vaso sanguíneo en el cerebro se rompe y se produce un sangrado dentro del tejido cerebral. |
Dentro del ACV isquémico:
-
Trombótico: el coágulo se forma en una arteria del cerebro.
-
Embólico: el coágulo viaja desde otra parte del cuerpo hasta el cerebro.
Dentro del ACV hemorrágico:
-
Intracerebral: el sangrado es dentro del propio cerebro.
-
Subaracnoideo: el sangrado ocurre en el espacio que rodea el cerebro.
En Colombia, los hospitales y clínicas de alta complejidad, como los que cuentan con el respaldo de la Pontificia Universidad Javeriana, disponen de equipos especializados para manejar este tipo de emergencias.
¿Qué te puede causar un AVC?
Factores modificables
Aquí es clave tener en cuenta que hay factores de riesgo que sí podemos modificar y otros que no. Los modificables son aquellos que se pueden prevenir o controlar cambiando hábitos o siguiendo tratamientos médicos. Entre los más importantes para prevenir un ACV están:
-
Presión arterial alta
-
Diabetes
-
Colesterol elevado
-
Fumar
-
Consumo excesivo de alcohol
-
Sedentarismo
-
Obesidad
-
Problemas cardíacos
Mantener estos factores bajo control puede reducir de manera significativa la posibilidad de sufrir un ACV.
Por ejemplo, una persona con hipertensión que empieza a tomar sus medicamentos y adopta una dieta baja en sal tiene muchas más probabilidades de evitar un ACV. De igual forma, dejar de fumar y hacer ejercicio regularmente no solo ayuda a prevenir el ACV, sino que mejora la salud en general. En Colombia, tanto la Asociación Colombiana de Neurología como la Pontificia Universidad Javeriana impulsan campañas para sensibilizar sobre estos temas y ofrecen recursos de apoyo educativo para la comunidad.
Factores no modificables
Ahora, hay factores que simplemente no podemos cambiar:
-
Edad avanzada
-
Antecedentes familiares de ACV
-
Sexo (suele afectar más a los hombres)
-
Ciertas condiciones genéticas
Aunque estos factores no se pueden modificar, conocerlos permite adoptar medidas preventivas más personalizadas y estar mucho más alerta ante cualquier síntoma sospechoso.
Así, una persona que tiene familiares cercanos que han tenido un ACV debería prestar especial atención a los signos de alerta y visitar regularmente al médico. Además, los adultos mayores y quienes tienen enfermedades hereditarias que afectan la coagulación de la sangre deben tener un control mucho más estricto. En Colombia, identificar estos factores en consulta es fundamental para prevenir tanto el primer episodio como los posibles recaídas.
Síntomas de alerta para identificar un ACV
Signos físicos y cognitivos
Reconocer los síntomas de un ACV es esencial para actuar de inmediato. Los signos más comunes incluyen:
-
Debilidad o parálisis repentina en la cara, el brazo o la pierna (usualmente en un solo lado del cuerpo)
-
Dificultad para hablar o entender
-
Confusión
-
Visión borrosa o pérdida de visión en uno o ambos ojos
-
Problemas para caminar
-
Mareo
-
Pérdida del equilibrio o coordinación
-
Dolor de cabeza intenso sin causa aparente
A veces, estos síntomas son tan leves que pueden confundirse con otras afecciones, lo que retrasa la consulta médica. Por ejemplo, una persona puede notar apenas que le cuesta articular palabras o sentir una fatiga extrema de repente. Aquí es importante mencionar la escala FAST (Face, Arms, Speech, Time), una herramienta sencilla para recordar los signos principales: caída facial, debilidad en los brazos, alteraciones en el habla y, sobre todo, actuar rápido. En Colombia, los servicios de urgencias ya utilizan esta escala para priorizar la atención de quienes presentan síntomas compatibles con ACV.
¿Por qué es importante actuar rápido?
En el tema del ACV, el tiempo es oro. La atención rápida puede limitar el daño cerebral y aumentar las posibilidades de recuperación. En Bogotá y en otras ciudades del país, los sistemas de emergencia están preparados para responder con agilidad a estos casos, lo que puede ser la diferencia entre una recuperación completa y secuelas permanentes. La frase “el tiempo es cerebro” no es casualidad: cada minuto cuenta.
Para ponerlo en contexto, cada minuto que se pierde sin tratamiento puede significar la muerte de millones de neuronas. Por eso, ante cualquier sospecha de ACV, lo primero es llamar a los servicios de emergencia (en Bogotá, la línea 123) y no intentar trasladar al paciente por cuenta propia, salvo que el personal médico así lo indique. La coordinación entre quienes atienden la emergencia y los hospitales de referencia es fundamental. En Colombia, la creación de rutas integradas de atención ha ayudado a mejorar los tiempos de respuesta y los resultados para los pacientes.
Diagnóstico y atención médica del ACV
Evaluación clínica inicial y herramientas diagnósticas para un ACV
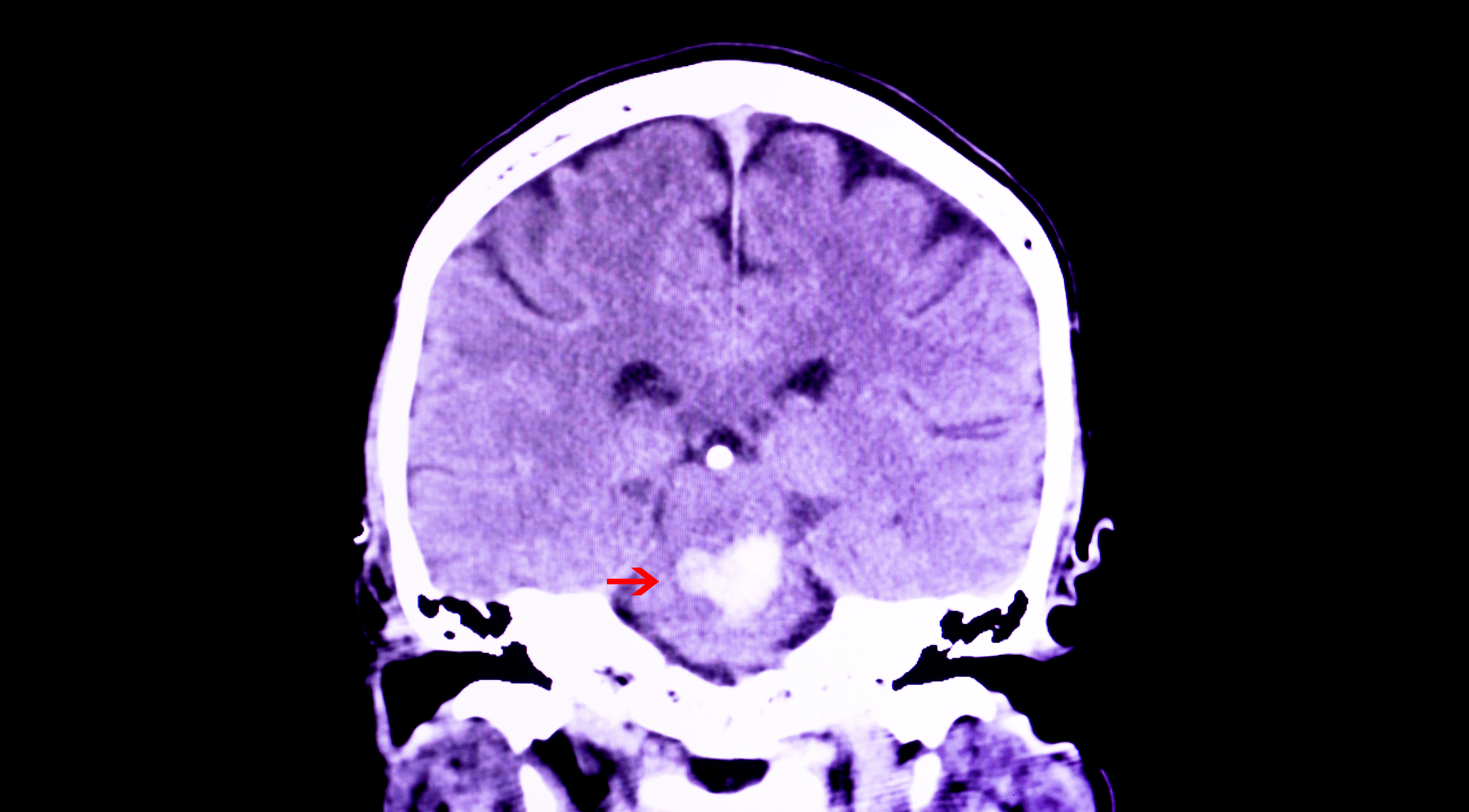
El diagnóstico a tiempo de un ACV comienza con una valoración clínica detallada, donde el equipo médico identifica los síntomas y realiza un examen neurológico. Luego, se utilizan herramientas como la tomografía computarizada (TC) y la resonancia magnética (RM) cerebral para saber qué tipo de ACV es y dónde está ubicado el daño. En algunos casos, también se piden exámenes de sangre, electrocardiogramas o ecocardiografías para buscar la causa exacta.
En Bogotá, instituciones aliadas a la Pontificia Universidad Javeriana cuentan con protocolos de atención rápida para pacientes con sospecha de ACV. Esto incluye la activación de equipos multidisciplinarios y acceso a tecnología avanzada para realizar diagnósticos precisos. La correcta interpretación de los estudios de imagen es vital para decidir el tratamiento más adecuado y minimizar riesgos.
Profundiza en el diagnóstico y tratamiento del ACV y otras enfermedades neurológicas con las Maestrías y Especializaciones de Medicina.
Tratamientos urgentes para un ACV
El tratamiento de un ACV depende del tipo:
-
En el caso del ACV isquémico, lo más común es el uso de medicamentos trombolíticos que disuelven el coágulo y, en ocasiones, procedimientos para extraerlo.
-
Cuando se trata de un ACV hemorrágico, la prioridad es controlar el sangrado y bajar la presión dentro del cráneo, lo que a veces requiere cirugía.
La atención en centros especializados y la velocidad con la que se inicia el tratamiento son determinantes para el pronóstico.
En Colombia, el acceso a tratamientos trombolíticos ha venido creciendo, especialmente en hospitales universitarios y centros de referencia. Además, la rehabilitación temprana y la atención integral por parte de equipos de neurólogos, fisioterapeutas y terapeutas ocupacionales son fundamentales para que el paciente recupere la mayor funcionalidad posible. Claro que sí, no todos los pacientes pueden recibir ciertos tratamientos, por eso la evaluación médica personalizada es imprescindible.
Recuperación y prevención de un ACV
Estrategias para prevenir nuevos episodios: estilo de vida saludable
Prevenir un segundo ACV es fundamental para quienes ya han pasado por esta experiencia. Adoptar un estilo de vida saludable y seguir las recomendaciones médicas puede marcar la diferencia y disminuir el riesgo de que se repita. Es clave mantener una alimentación balanceada, hacer ejercicio regularmente, controlar la presión arterial y el colesterol, dejar el cigarrillo y moderar el consumo de alcohol. Además, asistir a controles médicos periódicos ayuda a ajustar tratamientos y detectar cualquier complicación a tiempo.
La rehabilitación, que puede incluir terapia física, ocupacional y de lenguaje, es esencial para que el paciente logre la mejor recuperación posible después de un ACV. En Bogotá, existen varios centros especializados y programas de apoyo tanto para pacientes como para sus familias, muchos de ellos en alianza con instituciones académicas como la Pontificia Universidad Javeriana. La educación continua y el acompañamiento en grupos de apoyo facilitan la adaptación y mejoran la calidad de vida a largo plazo.
Para quienes desean especializarse en el área neurológica y aportar a la prevención y manejo del ACV, Bogotá ofrece varias alternativas académicas. La Pontificia Universidad Javeriana brinda la posibilidad de estudiar una Especialización en Neurología, ideal para aquellos profesionales que buscan profundizar en el abordaje de estas patologías. Si lo que te interesa es ampliar tus conocimientos, puedes considerar estudiar Neurología en Colombia, accediendo a programas con un enfoque tanto clínico como científico. Por supuesto, estudiar Neurología en Bogotá es una excelente opción para formarse en instituciones reconocidas, no solo a nivel nacional sino también internacional. Estos programas están pensados para formar especialistas capaces de liderar equipos multidisciplinarios y promover la investigación en enfermedades cerebrovasculares, aportando así al desarrollo de la atención neurológica en nuestro país.
Preguntas frecuentes
Lo más importante es actuar de inmediato. Llama a los servicios de emergencia (línea 123 en Bogotá) y no intentes trasladar al paciente por cuenta propia. Observa los síntomas y proporciona toda la información posible al personal médico.
Sí, en muchos casos se puede prevenir controlando los factores de riesgo modificables como la presión arterial, el colesterol, la diabetes, el tabaquismo y el sedentarismo. Adoptar un estilo de vida saludable es fundamental.
Las secuelas pueden variar, pero suelen incluir dificultades para moverse, hablar, comprender, problemas de memoria y, en algunos casos, alteraciones emocionales o cognitivas.
La Pontificia Universidad Javeriana ofrece programas de especialización en neurología para quienes deseen formarse en esta área y contribuir a la atención y prevención del ACV.

